
소세포 폐암 말기는 진단만으로도 많은 사람들에게 두려움을 주는 질병입니다.
폐암 중에서도 진행이 빠르고 전이가 잘 되어 치료가 매우 어렵기 때문에 많은 사람들이 '말기'라는 단어 자체에 큰 충격을 받습니다.
하지만 소세포 폐암 말기에 대한 정확한 정보를 알고, 그에 맞는 치료와 관리를 준비한다면 조금 더 의미 있고 건강한 삶을 이어갈 수 있는 방법도 존재합니다.

이번 글에서는 소세포 폐암 말기의 특징, 주요 증상, 생존율, 치료방법, 관리 방법 등을 아주 구체적이고 이해하기 쉽게 정리해 보았습니다.
폐암 환자 본인, 가족, 보호자분들께 꼭 도움이 되기를 바라며, 끝까지 정독해 보시길 추천드립니다. 🙏
소세포 폐암이란? 🚬 폐암 중 가장 악성도가 높은 암
소세포 폐암은 전체 폐암 중 약 15%를 차지하는 암입니다.
특히 흡연과 매우 밀접한 관련이 있으며, 흡연자의 경우 비흡연자보다 소세포 폐암 발병 확률이 훨씬 높습니다.
일반 폐암(비소세포 폐암)과의 가장 큰 차이점은 바로 진행 속도입니다.
- 소세포 폐암 : 매우 빠른 성장과 전이
- 비소세포 폐암 : 상대적으로 느린 진행

이 때문에 소세포 폐암은 진단 당시 이미 다른 장기로 전이된 경우가 많아 '말기'로 진단되는 비율이 높습니다.
소세포 폐암과 비소세포 폐암 비교표
| 발생 비율 | 15% | 85% |
| 진행 속도 | 빠름 | 느림 |
| 전이 가능성 | 높음 | 비교적 낮음 |
| 주요 원인 | 흡연 | 흡연, 유전, 환경 |
| 치료법 | 항암 중심 | 수술, 항암, 방사선 |

특히 소세포 폐암은 초기에 증상이 거의 없기 때문에 조기 발견이 어려운 암으로 알려져 있습니다.
소세포 폐암 말기의 주요 증상들 🚨
소세포 폐암 말기 환자들에게서 나타나는 대표적인 증상은 아래와 같습니다.
주요 증상 리스트
- 기침과 피 섞인 가래
- 호흡곤란
- 가슴 답답함과 흉통
- 체중 급감 및 식욕 부진
- 쉰 목소리 또는 삼킴 곤란
- 어깨 통증, 팔 저림
- 얼굴, 목, 팔 붓기 (상대정맥 증후군)
- 지속적인 피로감
- 두통, 어지러움 (뇌 전이)
- 뼈 통증 (뼈 전이)
- 복통, 황달 증상 (간 전이)

이러한 증상은 암 덩어리가 폐 주변 조직은 물론, 혈관, 신경, 뼈, 뇌, 간 등 주요 장기로 퍼져나가면서 나타나는 것입니다.
특히 얼굴과 팔이 붓는 증상은 매우 위험 신호일 수 있으며, 혈관을 압박하는 종양으로 인해 생기는 상대정맥 증후군일 가능성이 높습니다.
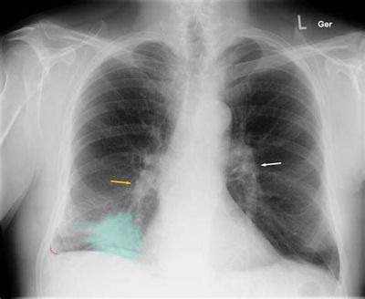
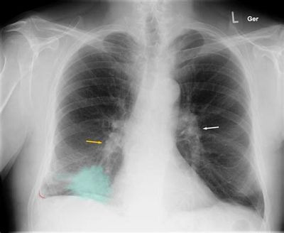
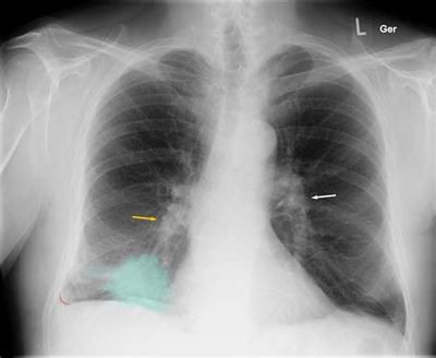
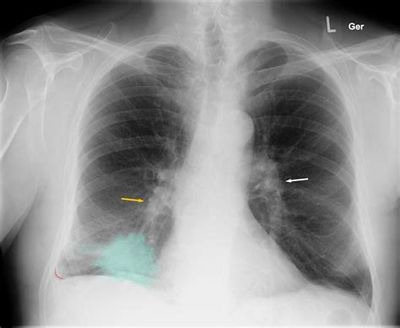
소세포 폐암 진단 방법 🔬
소세포 폐암 말기 진단은 여러 검사를 통해 암의 크기, 위치, 전이 여부를 확인하게 됩니다.
주요 검사 종류
- 흉부 X-ray 촬영
- CT(컴퓨터단층촬영)
- PET-CT(양전자방출단층촬영)
- MRI(자기 공명영상)
- 기관지 내시경 검사 및 조직 생검
- 혈액 검사
- 뼈 스캔 및 뇌 MRI

이 검사를 통해 병기를 구분하게 되는데, 소세포 폐암은 아래처럼 나뉩니다.
| 제한병기 | 암이 폐와 인접 림프절까지 제한된 상태 |
| 확산병기(말기) | 폐를 넘어서 다른 장기로 전이된 상태 |
소세포 폐암 말기란 대부분 확산병기에 해당하는 상황을 말합니다.

소세포 폐암 말기 생존율 📉
소세포 폐암 말기의 생존율은 매우 낮은 편입니다.
특히 확산병기의 경우, 5년 생존율은 2~5% 정도로 보고되고 있습니다.
병기별 5년 생존율
| 제한병기 | 20~30% |
| 확산병기(말기) | 2~5% |

하지만 생존율은 어디까지나 통계 수치일 뿐, 실제 환자의 건강 상태, 치료 반응, 전이 정도에 따라 개인차가 크기 때문에 너무 좌절하지 않는 것이 중요합니다.
소세포 폐암 말기 치료 방법 💊 생명 연장과 삶의 질 관리가 핵심
소세포 폐암 말기 치료의 목적은 완치보다는 생명 연장, 증상 완화, 삶의 질 향상에 있습니다.
주요 치료법
- 항암화학요법
- 방사선 치료
- 면역항암치료
- 진통제 및 증상 조절
- 영양 관리 및 식이요법
- 심리적 안정 지원


최근에는 면역항암치료나 표적항암치료 기술이 발전하면서 생존기간을 조금 더 늘릴 수 있는 가능성도 열리고 있습니다.
소세포 폐암 말기 환자를 위한 생활 관리 TIP ❤️
소세포 폐암 말기 환자를 위한 생활 관리는 무엇보다 심리적 안정과 정서적 지지가 중요합니다.
관리 방법 리스트
- 부드럽고 소화 잘 되는 음식 섭취
- 충분한 수분 섭취
- 편안한 환경 조성
- 통증 조절 및 진통제 복용
- 충분한 휴식과 수면
- 가족, 친구의 정서적 지지
- 작은 변화에도 민감하게 반응하기
- 긍정적 에너지 전달


가족들의 따뜻한 말 한마디, 따뜻한 손길은 환자에게 큰 위로와 희망을 줄 수 있습니다. 🌸
소세포 폐암 말기, 희망을 포기하지 마세요 🌈
소세포 폐암 말기는 분명 어려운 병이고, 생존율 또한 낮은 암입니다.
그러나 빠른 치료 진행, 적극적인 증상 관리, 가족과 주변 사람들의 따뜻한 돌봄을 통해 삶의 질을 최대한 높이고, 남은 시간을 건강하게 보내는 것도 충분히 가능합니다.
초기에 발견하기 어렵지만, 흡연을 하거나 폐 질환 위험이 있다면 정기적인 검진을 통해 조기 발견을 시도하는 것이 최선의 예방법입니다.

소세포 폐암 말기라고 해서 무조건 포기하기보다, 정보와 치료, 사랑과 정성으로 하루하루를 의미 있게 채워가시기를 응원합니다.
폐에 좋은 음식 BEST 10 깨끗한 폐 건강을 위한 식단
폐는 우리 몸에서 산소를 공급하고, 노폐물을 배출하는 중요한 장기입니다.하지만 미세먼지, 흡연, 스트레스, 환경오염 등의 요인으로 인해폐 건강이 악화되면 호흡기 질환, 만성 기관지염, 천
shring7000.com
폐암 초기 증상 10가지. 기침만 해도 의심해야 할 신호
폐암은 조기 발견이 어렵지만, 초기 증상을 미리 알고 대처하면 생존율을 크게 높일 수 있습니다. 특히, 기침, 호흡곤란, 가슴 통증 등 초기 신호를 놓치지 않는 것이 중요합니다.이 글에서는 폐
shring7000.com
폐암 4기 생존율 높이는 방법 최신 면역 치료 표적 항암 치료 효과 분석
폐암은 조기 발견이 어렵고, 특히 4기 폐암으로 진단받았을 때는 치료가 더욱 힘들어집니다. 하지만 최근 면역치료, 표적치료, 맞춤형 항암제 등의 발전으로 폐암 4기 환자들도 생존율을 높일 수
shring7000.com